Фото нового штамма коронавируса «омикрон» показал научный центр вирусологии и биотехнологии «Вектор»
Сам вирус можно рассмотреть только при помощи электронного микроскопа.
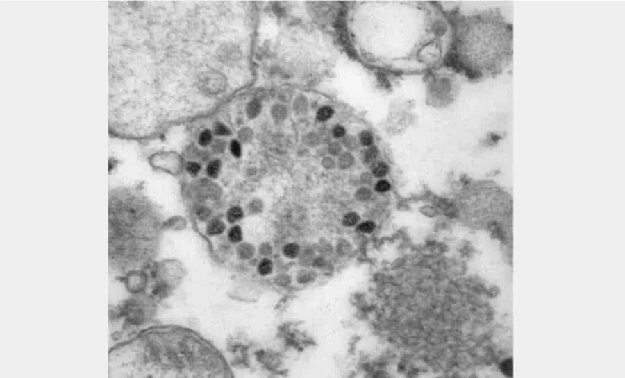
[caption id="attachment_257978" align="aligncenter" width="900"]
На кадрах видны вирусные частицы омикрона. Фото: Роспотребнадзор[/caption]
21 декабря, государственный научный центр вирусологии и биотехнологии «Вектор» опубликовал фотографии омикрон-штамма. Центр в лабораторных условиях заразил несколько клеток вирусом нового штамма, чтобы провести исследование его морфологических характеристик, сообщает Роспотребнадзор.
Таким образом, клетки нового штамма отделили от поверхности специальных флаконов, в которых их выращивали, на шестые сутки после заражения вирусом. После этого их залили в смесь эпоксидных смол. С этих блоков сделали очень тонкие срезы, которые можно рассмотреть в электронном микроскопе, передает "Комерсантъ".
На фотографиях можно увидеть везикулярные структуры (пузырьки), которые представляют собой расширенные каналы внутриклеточной сети. Белки, из которых состоит вирус, собираются у поверхности этих пузырьков, после чего проникают внутрь, получая дополнительную оболочку. После этого в мембрану пузырьков встраиваются структурные белки вируса.
На кадрах видны вирусные частицы омикрона. Фото: Роспотребнадзор[/caption]
21 декабря, государственный научный центр вирусологии и биотехнологии «Вектор» опубликовал фотографии омикрон-штамма. Центр в лабораторных условиях заразил несколько клеток вирусом нового штамма, чтобы провести исследование его морфологических характеристик, сообщает Роспотребнадзор.
Таким образом, клетки нового штамма отделили от поверхности специальных флаконов, в которых их выращивали, на шестые сутки после заражения вирусом. После этого их залили в смесь эпоксидных смол. С этих блоков сделали очень тонкие срезы, которые можно рассмотреть в электронном микроскопе, передает "Комерсантъ".
На фотографиях можно увидеть везикулярные структуры (пузырьки), которые представляют собой расширенные каналы внутриклеточной сети. Белки, из которых состоит вирус, собираются у поверхности этих пузырьков, после чего проникают внутрь, получая дополнительную оболочку. После этого в мембрану пузырьков встраиваются структурные белки вируса.




